- 1 : 2020/04/26(日) 18:23:55.35 ID:EklU+HsL9
2020/04/23

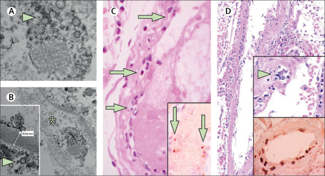
新型コロナウイルスは全身の血管内皮に感染する能力がある。AとBは腎臓、Cは小腸、Dは肺。矢印はウイルス感染部位/Credit:THE LANCET
新型コロナウイルスは初期には新型肺炎と呼ばれており、呼吸器系に感染するウイルスだと思われていました。
ですが増加する死亡者の検死解剖を行った結果、死者の多くに、複数の臓器にまたがる甚大な損壊が生じていることが明らかになってきました。
これは呼吸器系の症状からだけでは説明がつきません。
そこでスイスの研究者は、原因を探るために、ウイルスにより亡くなった患者の臓器の詳細な観察を行いました。
その結果、コロナウイルスは肺だけでなく、全身の血管に感染する能力をもっていることがわかりました。死んだ患者の血管内皮に、ウイルス粒子がビッシリとこびりついていたのです。
そのため死者の臓器では末梢の血管が崩壊しており、血液の流出を引き起こし、臓器の壊死を引き起こしていました。
また追加の分析で、高齢者や糖尿病や高血圧、心疾患などにより、既に身体中の血管にダメージを受けている患者ほど、ウイルスによる血管への感染に脆弱であることがわかりました。
これは既知の知識である「高齢者や持病がある人ほど重症化しやすい」という現象の最終的な原因になると、研究者は結論付けています。
全身の血管を狙う新型コロナウイルスに対して、人類はどのような治療を行えばよいのでしょうか?
新型コロナウイルスは、表面にあるスパイクと呼ばれる構造を、人間の細胞表面に存在するアンジオテンシン変換酵素2(ACE2)に結合することで感染します。
今回の研究により、ウイルスは肺に存在するACE2にだけ感染するのではなく、体全体の血管内皮に存在するACE2にも感染することが判明しました。
上の画像では、ウイルスが腎臓の血管内皮に入り込んでいる様子が示されています。
ウイルスが感染した血管内皮は炎症を引き起こすだけでなく、ウイルスが細胞を喰い破る物理的な破壊を受けて体内で出血を引き起こします。
高齢者や血管系にかかわる生活習慣病などの持病がある人は既に血管が弱っているため、ウイルスによる感染と破壊に血管が耐えきれず、症状が重篤化すると考えられます。
血管を守るためにできることは健康維持
今回の研究成果により、新型コロナウイルスの正体はただの肺炎ではなく「全身性血管炎症」であることがわかりました。
そのため、感染した患者が高齢者や血管系にかかわる持病がある場合は、優先して血管を保護する必要性が生じます。
https://nazology.net/archives/57616
*全文はリンク先へお願い致します。↓スレッドに関連スレッドをまとめましたので、よろしければご覧下さい。
【東大医学研究所 】COVID-19の原因ウイルスSARS-CoV-2の感染の最初の段階侵入過程を阻止「ナファモスタットが最も強力」 [ちーたろlove&peace★]
https://asahi.5ch.net/test/read.cgi/newsplus/1587886102/- 2 : 2020/04/26(日) 18:25:56.72 ID:poNoUPla0
- これは早期発見、早期アビガン投与が必要ですね。
- 63 : 2020/04/26(日) 18:55:58.51 ID:YIJ/r5W90
- >>2
それを厚労省が邪魔をしています
重症者にしか臨床を認めていません - 3 : 2020/04/26(日) 18:26:16.83 ID:nFrviymi0
- これは検査検査、そして検査しかないですね
- 4 : 2020/04/26(日) 18:26:49.36 ID:Zk6txoM00
- 脳みそくれ~
- 5 : 2020/04/26(日) 18:26:56.97 ID:aorHMaw90
- 高血圧の薬飲んでて良かったわ。
- 38 : 2020/04/26(日) 18:44:11.01 ID:kNc9aZUK0
- >>5
いいの? - 6 : 2020/04/26(日) 18:27:09.82 ID:vfvG7hVK0
- 空気感染する
エボラじゃん - 7 : 2020/04/26(日) 18:27:18.56 ID:GVnOvfg50
- だから糖尿とか肥満がヤバいんだな
- 8 : 2020/04/26(日) 18:27:20.79 ID:Yj8nEbGX0
- これプチエボラじゃね
- 9 : 2020/04/26(日) 18:27:52.41 ID:JYOrfIWO0
- 血管:外皮>中皮>内皮>ココ!
- 10 : 2020/04/26(日) 18:28:23.03 ID:chz47igU0
- よくもまあこんなウイルスを…
- 11 : 2020/04/26(日) 18:28:53.75 ID:48bq2eER0
- アビガンはよ
- 12 : 2020/04/26(日) 18:29:04.12 ID:XW91mRrv0
- 老害は血管ボロボロだから即死じゃん
可哀想にw - 14 : 2020/04/26(日) 18:30:38.72 ID:XW91mRrv0
- >>12
ちな
老害というのは日本の富と権力を独占してる奴らだから。コロナって公平を目的とした神なのかもな
- 13 : 2020/04/26(日) 18:29:24.16 ID:0VchSw0C0
- くすり服用中=疾患 普通体・検診異常なし=健康
- 15 : 2020/04/26(日) 18:30:46.19 ID:Jw4HCVmS0
- つまり毎日風呂は入れと
- 16 : 2020/04/26(日) 18:31:35.48 ID:1BUt8Q530
- 怪しかったらとりあえずアビガン飲ますんじゃダメなの?
- 20 : 2020/04/26(日) 18:36:22.91 ID:KdrxmAsW0
- >>16
アフリカとかならいいと思う、人口多すぎ - 17 : 2020/04/26(日) 18:33:00.58 ID:8bXdJn//0
- デブは死にやすいんじゃねという大方の予想通り
- 18 : 2020/04/26(日) 18:34:11.07 ID:JHIFaUH+0
- もしかして金正恩も?
- 40 : 2020/04/26(日) 18:45:01.67 ID:qxDfFzES0
- >>18
ならコロナの唯一の功績
やるじゃん - 19 : 2020/04/26(日) 18:35:13.33 ID:XbRjAuLq0
- ウイルスな対抗できるのにはニコチンのみか。
- 21 : 2020/04/26(日) 18:36:27.11 ID:Ebw3ByQG0
- 煙草は血管に良く無いはずだけど喫煙者はかかりにくいとか矛盾だらけじゃん
- 31 : 2020/04/26(日) 18:40:09.06 ID:8bXdJn//0
- >>21
そう?侵入経路の下気道がすでに摩滅してるので感染しにくい一方、
感染してしまうと血管がやられてるので重症化しやすいのでは - 22 : 2020/04/26(日) 18:36:44.12 ID:BNfMXA4C0
- 血液に触れても感染するんじゃないの???
皮膚表皮に吹き出してこないだけでエボラ出血熱レベルなのか・・・
- 24 : 2020/04/26(日) 18:37:06.06 ID:kIBAOs3H0
- コロナ(肺炎)
HIV(免疫不全)
エボラ(全身症状)COVID19 = 一人三役
- 25 : 2020/04/26(日) 18:37:10.83 ID:Ec/A+cbW0
- 血管そのものがやられるのか
血液はどうなんだろ?
もし何かあれば輸血絡み・献血絡みが今後問題有りになりそう
蚊も下手すりゃやばいか?すんげーウイルス作ったもんだな
- 26 : 2020/04/26(日) 18:37:43.24 ID:DYk3VqOT0
- こういう役に立つ情報が香港や欧米からしか流れてこないのがね
世界で2番目にパンデミックった日本では、死体を速攻で全部焼いて、何も学ぼうとしないという
- 27 : 2020/04/26(日) 18:38:07.00 ID:3LBplg6m0
- 日本人は石鹸を使うので大丈夫
- 69 : 2020/04/26(日) 19:02:28.41 ID:6a7t5s4p0
- >>27
バカか? - 28 : 2020/04/26(日) 18:39:40.90 ID:0wkqGEBp0
- 肥満体殺される
老人も殺される
不健康なやつらもみんな淘汰される
ウイルス界のやべーやつ - 29 : 2020/04/26(日) 18:39:41.00 ID:8l6BHjK+0
- エボラ出血熱ウィルスの特徴ですね。
キクガシラ・コウモリ・ウィルスを基本にして、
SARS、エイズ、エボラの各ウィルスと、
遺伝子組み換えした結果でしょう。 - 30 : 2020/04/26(日) 18:39:49.16 ID:a/VzsteY0
- 色んな後遺症が確認されてるが、それって重篤な感染症、全てに起こり得る症状じゃん
コロナだけが特別って感じで恐怖を煽るのは、何か理由でもあるのか? - 32 : 2020/04/26(日) 18:40:33.04 ID:0h+1Ht/B0
- 肺炎がきっかけで別の病気って事か
ますますSFじみてきたな - 33 : 2020/04/26(日) 18:40:54.30 ID:XwsHPvQc0
- >死んだ患者の血管内皮に、ウイルス粒子がビッシリとこびりついていた
さすがにこれは誇張表現
- 34 : 2020/04/26(日) 18:41:13.34 ID:UlvOTkFV0
- 会社の健診でメタポで引っかかって血圧血糖値が高い俺からすると
メッチャ怖いんだが連休は家に引きこもるわ - 47 : 2020/04/26(日) 18:49:03.52 ID:0h+1Ht/B0
- >>34
体動かしとけよ
体重気をつけてな急に増えてくと別の病気の可能性が上がるぞ
俺前からずっと家で仕事してるんだけど去年仕事のストレスからか食い過ぎて体重5キロくらいあっという間に増えたのよ
そしたら朝起きたら体に力入らなくなっててさ、脳梗塞だった
気をつけてな - 62 : 2020/04/26(日) 18:55:55.79 ID:UlvOTkFV0
- >>47
ありがとう
体に気をつけてな - 35 : 2020/04/26(日) 18:42:12.94 ID:oO91vCjs0
- 玉ねぎ食え
- 36 : 2020/04/26(日) 18:43:02.33 ID:DmRTiMmH0
- つうかさ、感染した細胞が増殖するんだからある程度当然なことをサモでいってないか?
- 37 : 2020/04/26(日) 18:43:52.25 ID:fgvVZof10
- sarsを培養してばらまいてコロナと戦わせればいい。
ゴジラ対メカゴジラみたいに - 39 : 2020/04/26(日) 18:44:15.73 ID:Soz7110n0
- 血栓とか、凍症みたいになるのは、子供とか、若い人だよな。
年寄りの即死はともかく、自覚症状のない、若い人でも時限爆弾、余命数年なのか? - 41 : 2020/04/26(日) 18:45:06.18 ID:6bgqaJQm0
- 不健康といわれる因子のリスクを跳ね上げてくるようなウイルスや
- 42 : 2020/04/26(日) 18:45:18.06 ID:5a6EZMns0
- >>1
まあ、髄膜炎とかも出てるからな。
結構前に、血管から心臓に回って不整脈になるんじゃないかって言ってたけど、
味覚/嗅覚障害と心電図検査とCTの検査でほぼ炙り出せるんじゃね? - 43 : 2020/04/26(日) 18:46:44.11 ID:sETWo+Fj0
- つーか、血管に感染するなら血管にぶっ刺す蚊でも媒介するんじゃね。
- 44 : 2020/04/26(日) 18:46:50.04 ID:hd5afBc10
- 今だに「風邪と同じ」と言ってるヤツは大罪を犯してる。
然るべき専門家が明確に否定しないとだめ。 - 59 : 2020/04/26(日) 18:53:34.09 ID:qxDfFzES0
- >>44
ブラジル大統領だな - 45 : 2020/04/26(日) 18:47:21.85 ID:85EISlTV0
- コロナは急激に蔓延していて他の感染症よりも身近で感染しやすい明日は我が身
だから世界中みんな特別怯えてるんじゃん
わからんもんなのかね?>30
薬も設備も充分ない
医療従事者も減っていくなかでさ - 46 : 2020/04/26(日) 18:47:28.49 ID:4/kq4zyg0
- 自然発生アルヨ?
疑う人は反共分子アルヨ? - 48 : 2020/04/26(日) 18:49:32.63 ID:/SxnVrlu0
- 全身の血管がやられる対象なんて悪夢だ
ウイルス開発者は何考えてんの - 49 : 2020/04/26(日) 18:50:11.10 ID:qxDfFzES0
- 武漢の海鮮市場てコウモリは扱って無かったと今NHKの貴理子が出てる番組で言ってたぞ
んで武漢の研究所では1000キロ離れたとこからコウモリ捕って来てたんだと - 55 : 2020/04/26(日) 18:52:10.88 ID:AK9B/0XK0
- >>49
そうだよ、武漢でコウモリ食ってるなんて聞いたことない
あと日本人は武漢の映像とか見てて田舎のイメージあるんだろうけど
実際は東京よりも都会だからな、そこを完全封鎖して街中で感染者そのまま焼き56すほど
恐ろしいウイルスだってまだ理解してないやつ多すぎ - 50 : 2020/04/26(日) 18:50:38.16 ID:ODLx+6vn0
- 血管内皮にとりつく似たようなウィルスって他にあるのかな
- 51 : 2020/04/26(日) 18:51:06.47 ID:Q2ErMyHJ0
- 風邪などの感染症から脳炎や脊髄炎、敗血症、全身の多臓器不全に至るのは、新型コロナに限らず各種の細菌やウィルス、真菌でごく一般的なんじゃないの?
それとも血管に取り付くって、新型コロナの特徴なのか?? - 52 : 2020/04/26(日) 18:51:37.70 ID:PKclzjw70
- 5G国土化してるところはそんなヤバいことになってたのか
- 53 : 2020/04/26(日) 18:51:39.31 ID:VGbcaBtn0
- 二型糖尿病のオレ詰んだな
- 65 : 2020/04/26(日) 18:57:13.39 ID:2PMb/9Kp0
- >>53
お大事に。 - 54 : 2020/04/26(日) 18:51:54.54 ID:zgSTD5KJ0
- 今腐ったもの食べたら下痢したけど黒よりの茶色ぽい下痢でした。病気?
- 56 : 2020/04/26(日) 18:52:44.52 ID:5jhHGl+R0
- 血管の内側にびっしりウイルスがいるとか怖いっすね
- 57 : 2020/04/26(日) 18:52:45.41 ID:c0wlFu320
- 喫煙者は血管ボロボロだからな
だから重症化しやすいのか - 58 : 2020/04/26(日) 18:53:32.33 ID:D2k7gcE70
- ウイルス粒子がビッシリと!?ひょえ!
- 60 : 2020/04/26(日) 18:54:15.92 ID:rtpcbjFF0
- もう臓器移植できないねえ
ほぼほぼコロナ付きだろ - 68 : 2020/04/26(日) 18:59:26.27 ID:qxDfFzES0
- >>60
中国で重篤なコロナおばさんを肺移植で生き返らせてた - 61 : 2020/04/26(日) 18:54:42.16 ID:qHWi9sWi0
- エイズよりたち悪いやん
- 64 : 2020/04/26(日) 18:56:54.53 ID:CwTd/0gm0
- 鼻腔からサンプルじゃなく
血液でPCRやったらいかんの? - 66 : 2020/04/26(日) 18:57:28.27 ID:Jz3GcVx/0
- これは早期診断投与必須
四日後とか悠長なこと言ってられない - 67 : 2020/04/26(日) 18:57:38.45 ID:+YJd8nRu0
- コロナウイルスを大量に体内にいれたらヤバイってことでしょ?
肺や粘膜から血液に乗って、全身血管でコロナが増殖していく。
増殖させないようにするには、大量にコロナを取り込まないか、免疫が強い人だけなんでしょ? - 70 : 2020/04/26(日) 19:03:03.94 ID:yvEcTBut0
- いきなり血圧が跳ね上がって病院へ行ったら原発性アルドステロン症と診断された。
おそらくこのウイルスに感染したら即死だろうな。 - 71 : 2020/04/26(日) 19:03:09.66 ID:oAzTS1et0
- ACE阻害薬が効果あるのか。今となっては古い降圧剤だ。
- 72 : 2020/04/26(日) 19:04:06.90 ID:LBvF9P0t0
- なんかコロナで血栓が出来るってけど
今年は冬から今現在に至るまで脚が痒くて仕方ないのよ
調べたら下肢静脈瘤っての?血栓が原因で血流悪くなって脚が痒くなるんだともう冬も終わったってのにまだ痒いからコロナかも知れん
( ´・∀・`) - 73 : 2020/04/26(日) 19:04:56.85 ID:8sLojY6m0
- ACE2受容体に結合することはいち早く中国人が報告したよな
不自然に早く
【スイス研究/武漢肺炎】「全身の血管内皮に感染する」血管を守るためにできることは健康維持 [ちーたろlove&peace★]
ニュー速+


コメント