- 1 : 2020/04/22(水) 08:43:36.52 ID:u7lDAuXZ9
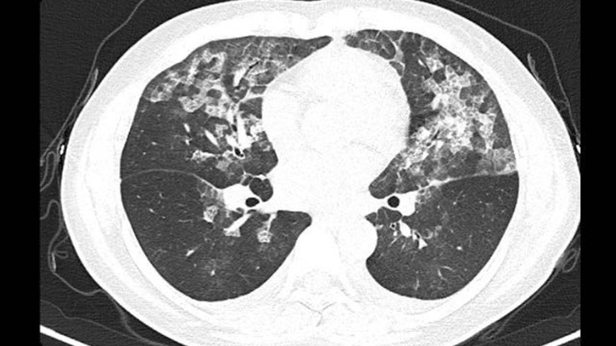
肺の「白い影」、見た目は新型コロナ肺炎とほぼ同一だが…
最近、中国河南省鄭州の病院に女性2人がめまいや脱力感などを訴え入院した。
新型コロナウィルスへの警戒が続く中、病院はCTスキャンによる検査を行ったところ、患者の肺からすりガラス状の白い影が見つかった。それはまさに新型コロナ肺炎の特徴と一致するものだった。
2人は発熱や、せき、呼吸困難などの症状がなかったため、診察を受けたのは発熱外来ではなく、一般の外来。医師らは驚き、病院内に緊張が走った。しかし、患者は武漢に行ったこともなく、近所に感染確認患者もいないという。
CT写真の白い影は新型コロナ肺炎のそれとよく似ているものの、過去の接触歴、症状、血液検査いずれも新型コロナ肺炎のものとは合致せず、医師らを悩ませた。原因はまさかの「過剰コロナ対策」
医師がさらに詳しく事情を聞いたところ、実は患者は新型コロナウイルスを恐れ、毎日「84消毒液」という消毒剤を使って家じゅうを消毒していたことが判明した。
「84消毒液」とは次亜塩素酸ナトリウムを主要成分とする、中国ではスーパーなどで売られている一般的な商品だ。日本でも、ウイルス対策として、厚生労働省や自治体などのHPに、ハイターやブリーチなど塩素系漂白剤を水で希釈して次亜塩素酸ナトリウム消毒液を作る方法が紹介されている。
中国当局は「84消毒液」について「説明書では100倍に希釈するよう求めている。つまり、消毒液1に対し、水99の割合だ。原液のまま直接使ってはならない」と注意を呼びかけている。医師が患者に希釈の割合を聞いたところ、よく知らず、少し水を入れて高濃度のまま使用を続けていたことがわかった。
「消毒の後、窓を開けて換気することも知らなかった」と医師はあきれ顔で話した。
このため医師らは、2人の女性に対し、新型コロナウイルスではなく、長時間にわたり高濃度の「84消毒液」を吸い込んだことによる“アレルギー性肺胞炎”との診断を下した。アレルギー性肺胞炎とは
アレルギー性肺胞炎とは日本呼吸器学会の解説によると以下のようなものである。肺にある小さな空気の袋(肺胞)や最も細い気道(細気管支)の内部や周囲に発生する炎症で、細菌やウィルスなどの病原体が原因でなく、有機物の粉塵や化学物質(これらを抗原と呼びます)を繰り返し吸い込んだことによるアレルギー反応が原因となります。
息切れ、せき、発熱といった症状が見られ、抗原を避けることにより、改善しますが、長期間抗原に曝露されていると炎症が慢性化し、肺がどんどん固くなります。
<日本呼吸器学会HPより>つまり、高濃度の化学物質を繰り返し吸い込んでいるとアレルギー反応によって肺胞に炎症が起きるのである。
その後、医師らが患者に家の消毒液をアルコールに変えさせ、アレルギーの治療を行ったところ、すぐに“治療効果”が出たという。
2~3日後、改めて検査したところ、肺の影は基本的に消えていた。治療に当たった医師は「もし新型コロナ肺炎の治療基準に従って治療していたら、さらに病状が悪化していた可能性がある。」と振り返る。
さらに別の医師は「家の中に患者がおらず、通常の家庭の環境であれば、過剰な消毒は不要で、ドアノブなどを消毒し、よく手洗いをすればよい」と呼びかけた。日本でも感染予防のため、次亜塩素酸ナトリウム消毒液を使った消毒が一般的に行われている。
しかし消毒液は「濃いほど良い」というものではなく、正しい使い方を心がけることが大事だ。
https://headlines.yahoo.co.jp/hl?a=20200421-00134597-fnnprimev-int- 2 : 2020/04/22(水) 08:44:54.37 ID:O4dky2Wk0
- コロナより怖い次亜塩素酸消毒液
- 33 : 2020/04/22(水) 09:03:45.28 ID:IFwt3Qh/0
- >>2
次亜塩素酸"ナトリウム"=ハイターな - 3 : 2020/04/22(水) 08:44:58.79 ID:jlW+My9O0
- >>1
お前の脳には空洞 - 4 : 2020/04/22(水) 08:45:24.67 ID:E263eL5Z0
- 埋めたあと気づいたのかな?
- 5 : 2020/04/22(水) 08:47:07.32 ID:5vTsIBwM0
- >>1
これ、治らない障害だって知らないんだろうね。このバカチャイナ - 6 : 2020/04/22(水) 08:47:10.32 ID:cPd8dLEb0
- クレベリン3個設置&ウィルス当番2個設置&ウィルスシャットアウト各人装備の我が家
やばい気がしてきた - 7 : 2020/04/22(水) 08:48:23.21 ID:1eoZBqNs0
- アレルギー?
マスクしないで消毒していたら下手したら呼吸困難で死ぬだろ
あ、死にかけたのか - 8 : 2020/04/22(水) 08:48:43.99 ID:IkrJcvJe0
- な、中国人はバカだろ?
- 9 : 2020/04/22(水) 08:49:35.91 ID:mP4y0s+t0
- 肺のバリウム検査でつか
- 10 : 2020/04/22(水) 08:49:44.57 ID:30hmxST20
- 無菌状態に慣れすぎみんなあちこち弱ってるんだろうか?
- 12 : 2020/04/22(水) 08:50:27.45 ID:DGjqUo4+0
- 意外と馬鹿にできない内容だった
今はみんなハイター使ってるから気を付けたほうがいい - 18 : 2020/04/22(水) 08:54:47.13 ID:/QlYDIix0
- >>12
NHKで紹介しちゃったからな
直接人体に使うなとか注意は色々つけてたが
そんなん何処かで抜け落ちるに決まってる - 23 : 2020/04/22(水) 08:59:23.44 ID:ggq8+Ahg0
- >>12
ハイターなどの漂白剤でコロナ対策できるような情報が流れて
店頭でも漂白剤が売り切れてるところもあるから
素人療法でやると起こりうる可能性は否定できない - 84 : 2020/04/22(水) 09:20:01.36 ID:GmoQ13m30
- >>12
換気してる?
あちらは外でも包み込まれるほどに撒いてるから換気どころじゃないんだろうけど。 - 13 : 2020/04/22(水) 08:51:49.65 ID:iJwdc2EE0
- ヘヤシュ?ヘヤシュしたの?
- 14 : 2020/04/22(水) 08:52:29.36 ID:hyLdnMg20
- はーーーいっ!
- 15 : 2020/04/22(水) 08:53:38.02 ID:/1vTzfvK0
- 脳の問題だね 十人十色だからね
- 16 : 2020/04/22(水) 08:53:49.47 ID:TwZYYVU90
- バカに出来ないって普通にバカに出来るんだが?
商品に書いてある説明や注意事項読めよ - 17 : 2020/04/22(水) 08:54:38.64 ID:gbns6ZH60
- クレベリンとかも馬鹿だからやめろよ
- 40 : 2020/04/22(水) 09:05:08.44 ID:IFwt3Qh/0
- >>17
大丈夫、クレベリンは通常濃度じゃまったく役に立たない=人にも害がないから - 19 : 2020/04/22(水) 08:55:35.06 ID:BQ3e4dEx0
- 日本では加湿器に消毒液入れて病院送りになってたよな
- 76 : 2020/04/22(水) 09:17:06.41 ID:6GZlietj0
- >>19
それが多発したのは韓国 - 20 : 2020/04/22(水) 08:56:43.78 ID:ZJ0F6Dg70
- 濃度の問題か?
馬鹿売れのジアイーノとかどうするんだよw - 22 : 2020/04/22(水) 08:59:12.15 ID:6ZuiGMbA0
- >>20
あれ系の商品は次亜塩素酸水といって次亜塩素酸ナトリウムとは別ここでいう次亜塩素酸ナトリウムはハイターとかの商品
- 53 : 2020/04/22(水) 09:10:34.16 ID:CPJ5mz8j0
- >>22
しかし次亜塩素酸ナトリウムからph調整等で作り出してる次亜塩素酸(と言ってる)ものもある - 21 : 2020/04/22(水) 08:58:43.31 ID:+802k/mK0
- 驚く白さ!
- 25 : 2020/04/22(水) 08:59:32.50 ID:5ulpuFc+0
- 高濃度だったんだな
ハイター原液はまずいだろ - 27 : 2020/04/22(水) 09:00:43.29 ID:u9JR7zR/0
- しかしホント斜め上行く行動するな中国人はw
- 42 : 2020/04/22(水) 09:05:43.57 ID:BQ3e4dEx0
- >>27
どこの国でも有り得るよ
日本は加湿器に入れて噴霧する例が何件かあった
こういう人達を馬鹿にせず注意喚起しなきゃね - 58 : 2020/04/22(水) 09:12:00.89 ID:IFwt3Qh/0
- >>27
日本じゃN国の議員が飲むとコロナに効くって紹介して、それを真に受けた人
N国関係者が病院に運び込まれてたで - 69 : 2020/04/22(水) 09:14:19.95 ID:WJjgokbo0
- >>27
日本は議員がハイター一気飲みする先進国や! - 28 : 2020/04/22(水) 09:02:13.95 ID:B7znuW0l0
- 次亜塩素酸ナトリウムを次亜塩素酸水と偽って売ってたり
食塩水を電気分解したのを次亜塩素酸水といって売ってる所あるから注意しないとね食塩水からできるのは次亜塩素酸ナトリウムだよ - 29 : 2020/04/22(水) 09:02:15.21 ID:o0paF6PH0
- まな板にハイター原液ぶっかけとかまずいの?
- 30 : 2020/04/22(水) 09:02:30.11 ID:Jpc+aGql0
- 何でもやりすぎは良くない
- 32 : 2020/04/22(水) 09:03:02.83 ID:LIuYiMGt0
- 日本の放射脳の亜種もこれだろw
- 35 : 2020/04/22(水) 09:04:41.99 ID:RSq3O6pw0
- と、いうシナリオでコロナは終息したことにする
- 36 : 2020/04/22(水) 09:04:45.62 ID:ddFgP6kj0
- 薄めて拭いても家の中が嫌な感じがするから
今は動画で出ていた食器洗剤に切り替えた - 37 : 2020/04/22(水) 09:04:58.12 ID:AeMIWrf60
- マスクは毎日の洗濯に加えて数日おきにハイター漂白してるんだけど大丈夫やろか
- 38 : 2020/04/22(水) 09:05:03.81 ID:adwUI3rn0
- 日本だって、原発事故のときに、イソジンを飲むアホがいたような、いなかったような、、、、、、
- 39 : 2020/04/22(水) 09:05:04.03 ID:LIuYiMGt0
- 次亜塩素酸「ナトリウム」は強アルカリだから覚えとけよ
ガキの部屋で散布しそうだからなお前ら放射脳脳の亜種は - 41 : 2020/04/22(水) 09:05:31.62 ID:9xPa3Zp20
- 以前かの国で加湿器に消毒液入れて問題になったよね!?
- 43 : 2020/04/22(水) 09:06:10.84 ID:ifI9s/4g0
- あの匂いの中、換気しないとか嗅覚異常か
- 44 : 2020/04/22(水) 09:06:16.52 ID:iQiijsZ80
- インフルにも効果ないと言われてるのに
- 45 : 2020/04/22(水) 09:06:26.35 ID:vsqwmRfy0
- うちのじいちゃんは入れ歯を泡ハイターで洗浄してる、話してると次亜塩素の臭いが
プンプンする。 - 46 : 2020/04/22(水) 09:06:55.34 ID:K60vZRkt0
- テレビでハイターを水で薄めて作る消毒液みたいなのを紹介するから事故が起こる
アホには薄めるのが危険だとわからんからハイター禁止にしないとやばい - 47 : 2020/04/22(水) 09:07:00.34 ID:Pb+fNuFy0
- 部屋は殺菌灯がいい カビが生えてこない
直視は厳禁だけど - 48 : 2020/04/22(水) 09:07:25.40 ID:0oYRYox50
- 浴室をしめ切ってカビキラーを使いまくると、気分が悪くなる
あの状態をもっとひどくした感じか - 49 : 2020/04/22(水) 09:08:14.76 ID:K60vZRkt0
- テレビが悪いわ
- 54 : 2020/04/22(水) 09:10:47.21 ID:tdFqaCF90
- 日本でも加湿器にハイター入れてたアホがいたな
- 55 : 2020/04/22(水) 09:11:00.57 ID:Dp3KCUVa0
- だいたいスプレーするなよ
換気してふきとれよ - 56 : 2020/04/22(水) 09:11:22.54 ID:dOl4fi0/0
- 中国なんて空からも噴霧し、
エレベーターは消毒液で常にビチャビチャ、
背中にタンクを背負った共産党員が噴きまくってるしな。 - 59 : 2020/04/22(水) 09:12:05.02 ID:J4RJxQSM0
- 日本の水道水って塩素消毒だよね
ハイターとかいらないんじゃね - 60 : 2020/04/22(水) 09:12:30.47 ID:Hy4QW0n00
- うちの掃除してるおばちゃんたちが必ずマスクとゴーグルと手袋してる理由がわかった
- 61 : 2020/04/22(水) 09:12:35.80 ID:uADCKuc60
- 石鹸で手洗いして消毒は台所洗剤レベルで十分
ハイターは危険だよ
カビキラーをマスク無しでバラ撒くようなもの
漂白剤は使わない方が良い - 68 : 2020/04/22(水) 09:13:58.80 ID:CPJ5mz8j0
- >>61
界面活性剤が効果ある事がわかってるしね - 74 : 2020/04/22(水) 09:16:25.52 ID:Dp3KCUVa0
- >>61
結局界面活性剤が一番便利
台所洗剤でいいんだよなハイター使った消毒液は
自宅療養者がでてからでいいわ - 62 : 2020/04/22(水) 09:13:06.11 ID:UTby1Zwi0
- 日本でも次亜塩素酸ナトリウム液飲めってツイートした政治家と
実際に飲んだお仲間の政治家がいたはずですが - 64 : 2020/04/22(水) 09:13:33.53 ID:Dp3KCUVa0
- >>62
マジでか - 65 : 2020/04/22(水) 09:13:37.23 ID:Jgek4w8P0
- 日本でも似たような事例なかったか
加湿器にいれたとか - 72 : 2020/04/22(水) 09:15:19.12 ID:Dp3KCUVa0
- >>65
韓国は昔加湿器にいれて
間質性肺炎になってたな日本は昔空間除菌ってやつを首にぶら下げて
幼児が化学やけど起こしてたけど - 77 : 2020/04/22(水) 09:17:29.01 ID:1hW8Phti0
- >>65
ジアニストだ大本教っぽいのがブログで宣伝してた - 67 : 2020/04/22(水) 09:13:55.91 ID:kTs686Nb0
- ハイター系は使用時換気しろ書いてあるしな。
そりゃ吸えば肺にダメージあるよ - 70 : 2020/04/22(水) 09:14:38.74 ID:Wxqfl2jK0
- ホントバカだと思う。
ちょっと考えたら人体に害があることわかるだろう - 71 : 2020/04/22(水) 09:14:46.29 ID:lFG8HkH30
- 次亜塩素酸でコロナ隠し
- 73 : 2020/04/22(水) 09:16:16.28 ID:MzfNX9rb0
- 少し知能に問題があっただな支那人だし
- 75 : 2020/04/22(水) 09:16:53.98 ID:kTtK07Qi0
- バカは死ぬしかないということ。
- 79 : 2020/04/22(水) 09:18:11.58 ID:iCXIfnqY0
- アルコールは揮発するからいいけど、塩素は残るから二度拭きせにゃいかん
- 80 : 2020/04/22(水) 09:18:33.65 ID:L6SHSqIt0
- 昭恵夫人は大本教に洗脳されてるっぽいし
厚労省にもその魔の手が居ると思う - 82 : 2020/04/22(水) 09:18:57.99 ID:/8l84AI50
- マスクにiPOSHふりかけて使うのはオッケーなん?
- 83 : 2020/04/22(水) 09:19:41.01 ID:YFoZG1O20
- コロナ禍はバカを浮き彫り抹56するための神様のふるい
- 85 : 2020/04/22(水) 09:20:04.95 ID:svgoeNpq0
- てか自衛隊病院での臨床検査で論文出てるよ
無症状感染者でも、CTで肺炎症状があったと
だからPCRだけではなくコロナはCTとセットで判断すべきと
中国はやはり馬鹿だった - 87 : 2020/04/22(水) 09:22:09.18 ID:MTK6+Wbq0
- キッチンハイターと泡ハイターって別物?
- 88 : 2020/04/22(水) 09:22:11.00 ID:y1/ySq7c0
- EM菌、次亜塩素酸加湿器(ジアニスト)、薬害内海、水詐欺
オーガニック野菜、無化学調味料、船瀬、マクロビオティック最大手Lima、自然派食品最大手オオサワ、保坂世田谷区支持母体大本教ですオウムだよw
- 89 : 2020/04/22(水) 09:23:09.18 ID:OVSR3B7c0
- 恐ろしや~
- 90 : 2020/04/22(水) 09:23:15.25 ID:anW502cY0
- スゲーなこれよくやったな
苦しさはウイルス感染処じゃ済まない
ゆっくりじっくり死ぬやつだ - 91 : 2020/04/22(水) 09:24:18.32 ID:Lidt2DHI0
- 濃いのをたくさんぶっかけると、真っ白になって腰が抜けちゃうと
- 92 : 2020/04/22(水) 09:24:30.66 ID:be+IKRwp0
- 日本の女も理系軽視のおかげで想像を絶する馬鹿揃いだから笑ってられないわ
- 93 : 2020/04/22(水) 09:24:43.97 ID:GmoQ13m30
- あまりにも撒くところが汚すぎてシューシュー反応してるって事は無い?
【中国】「肺に白い影」 医師も驚愕…原因はまさかの過剰コロナ対策→次亜塩素酸ナトリウム消毒液を大量に吸い込んでいた
ニュー速+

コメント