【新型コロナ】「58歳女性の脳が壊死」米ミシガン州で世界初

1 : 2020/04/02(木) 20:14:49.64 ID:Z0+3ErpW9

レス1番の画像サムネイル
レス1番の画像サムネイル
レス1番の画像サムネイル
レス1番の画像サムネイル

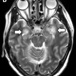
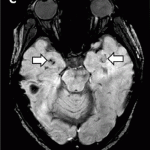
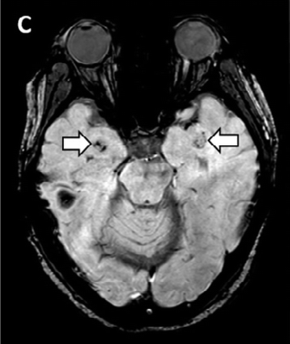
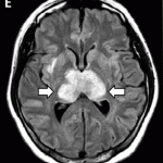
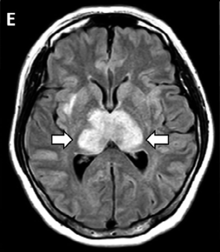
新型コロナウイルスの感染が全世界中で広がるなか、肺炎症状だけでなく、味覚や嗅覚などの異常も報告されるようになったが、米国の研究で、脳の一部で炎症や壊死が進行する「急性壊死性脳炎」を発症していたことが明らかになった。

米ミシガン州デトロイトのヘンリー・フォード・ヘルスシステムの神経科医エリッサ・フォーリー博士らの医療チームが放射線医学誌『ラジオロジー(Radiology)』に先月31日付で発表した症例報告によると、航空会社に勤務する58歳の女性は先月19日、パニック障害や方向感覚の欠如、意識不明などの状態で同病院に救急搬送された。

インフルエンザ脳症を疑ったが…

 担当医はインフルエンザ脳症による意識障害を疑って、ウイルス検査を行ったが陰性。さらに脳脊髄液を採取して、ヘルペスや帯状疱疹、西ナイル熱などのウイルスについても調べたが、3日かけても原因は一向にわからなかった。

そこで、米疾病予防管理センター(CDC)が開発した検査キットを使って調べたところ、新型コロナウイルスの陽性反応が確認されたという。

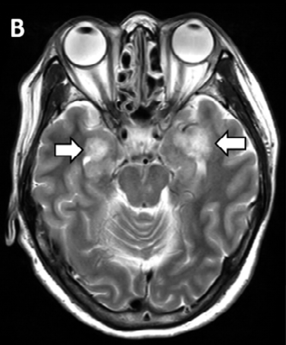
同時に、頭部のCTスキャン検査を実施したところ、脳の中心部分にあって、視覚や聴覚、運動などをつかさどる「視床」に損傷が見つかり、壊死が起きているのが判明。さらに脳のMRI検査の結果、側頭葉の血管が破裂して出血しているのも見つかった。 

当初、急性脳炎を疑っていた医療チームは、免疫機能が暴走して、自身の体にダメージを与える「サイトカインストーム」を起こしていると判断。サイトカインとは、白血球など免疫系の細胞から分泌されるタンパク質で、ウイルスや病原体の増殖を抑えるなどといった役目を果たす。サイトカインストームとは

 しかし、免疫系のバランスが乱れて、サイトカインの制御ができなくなると、サイトカインストームといってサイトカインの過剰分泌を起こし、ひどい場合は死に至ることもあるという。

ヘンリー・フォード・ヘルスシステムのチームは「新型コロナウイルスが原因で、急性壊死性出血性脳症を起こした初めての症例だ」として、現場で働く臨床医や放射線医は、この症状の進行に注意するよう呼びかけている。

2020年04月02日 19時02分
https://www.hazardlab.jp/know/topics/detail/3/3/33682.html

2 : 2020/04/02(木) 20:15:06.96 ID:kWlmZ71h0
((( ;゚Д゚)))ガクガクブルブル
3 : 2020/04/02(木) 20:15:14.80 ID:8OFwpOdD0
もしかしたら安倍も…
12 : 2020/04/02(木) 20:16:15.44 ID:AwrKGdEQ0
>>3

昭恵と夫婦揃って腐ってるわと

150 : 2020/04/02(木) 20:23:57.12 ID:KYMOn0PA0
>>12
昭恵は放射脳
晋三は便が脳に詰まった
36 : 2020/04/02(木) 20:17:31.35 ID:Iruv26eJ0
>>3
誰もがそう思うよね
55 : 2020/04/02(木) 20:18:45.35 ID:/LBUeUS+0
>>3
コロナが憎いです
153 : 2020/04/02(木) 20:24:03.84 ID:J3STyTrT0
>>3
障碍者の方を悪く言うな!
175 : 2020/04/02(木) 20:25:07.11 ID:4Ajmg3vx0
>>3
パヨクも・・
4 : 2020/04/02(木) 20:15:19.15 ID:RigIZBri0
それもう寄生虫の類じゃないか?
5 : 2020/04/02(木) 20:15:48.98 ID:t2OHo84+0
ネトウヨと同じ症状
6 : 2020/04/02(木) 20:15:51.88 ID:6OOFhvpN0
oh! No!
7 : 2020/04/02(木) 20:15:53.72 ID:sZOJqxJc0
いやいやバリエーション多すぎやろ
121 : 2020/04/02(木) 20:22:16.04 ID:TwWh1/UI0
>>7
インフルだって脳症になる
一定数こういう症例はこの先でてくるだろ
9 : 2020/04/02(木) 20:15:58.50 ID:QaMuf9OX0
それってコロナなの?
10 : 2020/04/02(木) 20:15:58.64 ID:b3MHzG1O0
まあ日本でも髄膜炎でたからね
脳に異常出るケースもあるだろうな
42 : 2020/04/02(木) 20:17:53.61 ID:QbTTRLho0
>>10
知り合いが髄膜炎で脳が破壊されて突然アウアウになって糞怖い
11 : 2020/04/02(木) 20:16:15.28 ID:qgV8RmoE0
レアケースだね
無視して良いよ
13 : 2020/04/02(木) 20:16:16.12 ID:iyfJk2pP0
脳もやられるのか
14 : 2020/04/02(木) 20:16:23.65 ID:sPmwbnEH0
コロナ脳症だな
どれくらいの確率で入り込むんだろ
15 : 2020/04/02(木) 20:16:25.45 ID:SdbHd24a0
日本は放置でころす
16 : 2020/04/02(木) 20:16:28.04 ID:sfIECKzA0
壊死の開始
17 : 2020/04/02(木) 20:16:30.41 ID:t6ApWOSA0
コロナも進化してるな
18 : 2020/04/02(木) 20:16:33.04 ID:hmmSvm7Z0
空気感染するエイズウイルスなんじゃん

やっぱり助からないんだ

19 : 2020/04/02(木) 20:16:35.58 ID:w8hcLq4f0
守ってよし攻めてよしの完全ともいえるコロ
人類はコロに負けるんやなあ
20 : 2020/04/02(木) 20:16:37.22 ID:nNQqdMAz0
コロナは直接関係なくね?
21 : 2020/04/02(木) 20:16:38.04 ID:ddRuwWPr0
何か薬飲んだとか?
22 : 2020/04/02(木) 20:16:39.53 ID:CkKOw22p0
純粋に酸素回らなくなっただけでは
23 : 2020/04/02(木) 20:16:39.85 ID:gTvBDHSa0
若者がサイトカインストーム起こしてバタバタ死ぬみたいなガセ流してたやついたけど、
サイトカインストームで死ぬのもやっぱり老害なんだよなあ
24 : 2020/04/02(木) 20:16:43.66 ID:HWXrOlTc0
脳炎は

中国でも言われてたやん

25 : 2020/04/02(木) 20:16:44.05 ID:4FR00Gs+0
わけのわからない方向へ変異しとるがな、トランプと安部どーすんのよコレ!?!?!
27 : 2020/04/02(木) 20:17:05.04 ID:mQDfLfpF0
風邪程度だよ
28 : 2020/04/02(木) 20:17:05.78 ID:wTfA+UXK0
そして変異へ
29 : 2020/04/02(木) 20:17:13.58 ID:Ti/1NI1p0
ゾンビ化する可能性は?
30 : 2020/04/02(木) 20:17:15.95 ID:BLcogaZf0
これもう人類撲滅兵器やん。
31 : 2020/04/02(木) 20:17:18.62 ID:4bxts0qN0
目から感染したのかもね
32 : 2020/04/02(木) 20:17:19.66 ID:dVkDdKIs0
ネトウヨになったのか
33 : 2020/04/02(木) 20:17:24.13 ID:rILmV8QJ0
これ、目から感染するのがヤベェんじゃないの?
34 : 2020/04/02(木) 20:17:25.90 ID:P3H6q9so0
データとりに行きたいアル
35 : 2020/04/02(木) 20:17:29.22 ID:pO3BvsT50
お願いだ、こうなったら安楽死させてくれ頼む・・
37 : 2020/04/02(木) 20:17:33.43 ID:+Z92nmZG0
肺繊維症といい激症多過ぎでは
38 : 2020/04/02(木) 20:17:34.86 ID:RkLO4g2m0
夢の国ディズニー脳なんです
39 : 2020/04/02(木) 20:17:45.14 ID:eucwRjfB0
壊~死~
40 : 2020/04/02(木) 20:17:51.14 ID:GxMTDWha0
悪魔のウイルスに変異したな
41 : 2020/04/02(木) 20:17:53.46 ID:SF7NAD5A0
コロちゃんのせいって決まったの?
43 : 2020/04/02(木) 20:17:54.73 ID:Mqez/HwC0
パワーアップしました
44 : 2020/04/02(木) 20:18:01.72 ID:5oz5Pxmm0
こらはやっぱり中国共産党が開発したウイルス兵器だろ
45 : 2020/04/02(木) 20:18:05.31 ID:OZL2rL360
おい!ただの風邪って言ったやつw
46 : 2020/04/02(木) 20:18:08.04 ID:6ZoDabSk0
映画のコンテイジョンは脳がやられる
47 : 2020/04/02(木) 20:18:11.10 ID:vKH8U6hA0
日本脳炎?
48 : 2020/04/02(木) 20:18:11.06 ID:sRxq+W1F0
ハア、大変ですね

手洗いうがい外出マスク、三密守れば笑顔も戻る

49 : 2020/04/02(木) 20:18:11.08 ID:iPMH9UCc0
まだコロナを甘く見ていた
50 : 2020/04/02(木) 20:18:12.06 ID:i/aJfF6J0
インフルエンザでも脳症あるし
ウィルス感染は全身疾患だから
70 : 2020/04/02(木) 20:19:47.18 ID:dhkCPItH0
>>50
これな。
山梨でも髄膜炎いたじゃん。
98 : 2020/04/02(木) 20:21:07.99 ID:qu37KaKz0
>>50
インフルもタミフルできる前は異常行動とか関係なしで素で子供が死んでた
コロナは特効薬が無い時代のインフルみたいなものだし
そりゃ脳炎も起こすでしょ
51 : 2020/04/02(木) 20:18:15.80 ID:epSUWLqF0
コロナは脳症を起こす強毒性ウイルスに変異するって予言されてた

変異が予想より早く起きてるのでは?

52 : 2020/04/02(木) 20:18:27.19 ID:2FZwsEqP0
ぎゃああああ 壊死
53 : 2020/04/02(木) 20:18:36.49 ID:kCZivOKd0
武漢でも報告されてたのにね。
世界の医者が武漢の症例なんで無視してるのかさっぱりわからない。
66 : 2020/04/02(木) 20:19:41.69 ID:epSUWLqF0
>>53
あれは髄膜炎
これは脳壊死だからあれよりステージが↑だよ
54 : 2020/04/02(木) 20:18:44.84 ID:Im6QBqiu0
怖いねん
やめてくれ
56 : 2020/04/02(木) 20:18:46.61 ID:ygiKemDJ0
脳から骨までやられちゃうの
57 : 2020/04/02(木) 20:18:47.50 ID:GxMTDWha0
中国脳炎に変異
58 : 2020/04/02(木) 20:18:52.42 ID:pO3BvsT50
おまえらどうしてゴーグルしないの?
91 : 2020/04/02(木) 20:20:50.05 ID:23/olCAx0
>>58
病院行ったらゴーグルしてた
107 : 2020/04/02(木) 20:21:29.33 ID:fG1Es50/0
>>58
これ忘れがちなんだよな
59 : 2020/04/02(木) 20:18:54.70 ID:iIZ37Gyu0
肺炎じゃないじゃないwなんなのよ?w
60 : 2020/04/02(木) 20:19:03.15 ID:fQM6Gkv50
冗談言っていられるのも後僅か
61 : 2020/04/02(木) 20:19:06.75 ID:qo7k7dD90
人類の秩序大再編始まっちまってるじゃねえか
62 : 2020/04/02(木) 20:19:08.38 ID:/6BteaNm0
コンテイジョンの映画そのものになってきたな
117 : 2020/04/02(木) 20:21:57.34 ID:isyi9zv20
>>62
違いは潜伏期間と発症から死へのスピード
ワクチン開発は、、
63 : 2020/04/02(木) 20:19:18.29 ID:MuPBMpKE0
レアケースすぎ
インフルエンザでよくあるわボケ
64 : 2020/04/02(木) 20:19:18.58 ID:5cQd/c/50
ピクピクピクピク♡
65 : 2020/04/02(木) 20:19:35.88 ID:23/olCAx0
もしかしてバタンと倒れて死ぬのコレ?
67 : 2020/04/02(木) 20:19:42.53 ID:1W5ObUJe0
味覚障害ってそんな理屈で起きてたのか
108 : 2020/04/02(木) 20:21:33.03 ID:wIt01uJT0
>>67
鼻づまりじゃないなら神経がおかしいに決まってる
124 : 2020/04/02(木) 20:22:33.89 ID:lIxljLBm0
>>67
ちゃう
69 : 2020/04/02(木) 20:19:46.66 ID:BCXuKxV30
日本でも、新型コロナで髄膜炎になった男性がいたな。
71 : 2020/04/02(木) 20:19:48.44 ID:FkqPH4sv0
やはり安倍も頭がやられてるかも
72 : 2020/04/02(木) 20:19:59.65 ID:g38zqES10
中国とかいう死神
73 : 2020/04/02(木) 20:20:00.00 ID:MAJlJbE30
もうここまできたら安楽死させてくれ
74 : 2020/04/02(木) 20:20:04.19 ID:Q2UjoxYC0
>>1
スーパーグロ 注
75 : 2020/04/02(木) 20:20:08.03 ID:Zdlq6fne0
髄膜炎から更に進行するとこうなるの??
76 : 2020/04/02(木) 20:20:09.00 ID:2AwFxXX30
こわいな
77 : 2020/04/02(木) 20:20:15.53 ID:UtwK1q2e0
お 新種か?
78 : 2020/04/02(木) 20:20:16.42 ID:B1qVLUO80
初期に指摘されてたのまた起こったんだなと…
79 : 2020/04/02(木) 20:20:19.33 ID:qlYkOb/U0
それでも若者は恐れず外出する
80 : 2020/04/02(木) 20:20:19.66 ID:7UAlxzW30
ステージ2にアップグレードしてきたな
コロナに意識を感じる
81 : 2020/04/02(木) 20:20:23.99 ID:UwPU5L1X0
復活の日のMM-88ウイルス級じゃん
82 : 2020/04/02(木) 20:20:27.60 ID:MtMyi49d0
ずーっっっっっっと武漢から言われてるやん
1月からニュース見てるやつには何の驚きもない
人類が5億人まで減るってのも嘘じゃない
これ一度感染すると主には肺だけど、身体の至る所の臓器や細胞に少しずつ入り込んでるって
だから一度でも感染しちゃいけないんだよこれ
マジで感染=死と思え!
110 : 2020/04/02(木) 20:21:35.53 ID:QbTTRLho0
>>82
5億人に減るはないけど、5億人以上死亡はかなりの確率であるからな
83 : 2020/04/02(木) 20:20:29.23 ID:zLhlMCNx0
あやふやな記事やな。
何でもコロナに関連付けりゃいいって問題でも無いやろ。
84 : 2020/04/02(木) 20:20:30.39 ID:IujW28it0
歴史上の感染症五天王
ペスト、コレラ、結核、スペイン風邪、梅毒
85 : 2020/04/02(木) 20:20:36.76 ID:BX5fs5gY0
なんか色んな症状を引き起こすな

あっちこっち移動しまくってる人に感染者が多いのは
移動するから感染するのではなく、感染したから移動したくなるんじゃないのか
トキソプラズマなんかも人間の行動をある程度コントロールするだろ。あれは寄生虫だけどさ

86 : 2020/04/02(木) 20:20:38.36 ID:FH5DIGK80
妙にアクティブになるのはこれじゃね
87 : 2020/04/02(木) 20:20:42.37 ID:raOHQvXG0
味覚嗅覚に最初にくるから、最初から頭にきてるってこったろ?
88 : 2020/04/02(木) 20:20:43.35 ID:GOqXXexf0
どうするんだよ鳩山(´・ω・`)
89 : 2020/04/02(木) 20:20:43.40 ID:4eGs/56f0
ただの風邪凄いな
90 : 2020/04/02(木) 20:20:45.11 ID:5RAZ5CvW0
いや普通のサイトカインストームやんかこれはしょうがないんやで
92 : 2020/04/02(木) 20:20:50.66 ID:8cg8A1tr0
史上最恐ですやん
93 : 2020/04/02(木) 20:20:50.94 ID:0vkd8eWI0
ただの風邪だから
94 : 2020/04/02(木) 20:20:56.14 ID:m4DFwRLr0
まだまだ隠れた障害持ってそうだな
95 : 2020/04/02(木) 20:20:56.70 ID:eFBsXLmp0
すごいなこりゃ。男は種なしのベテラン(退役軍人)になると
いう説も完全に否定されてないだろ。
136 : 2020/04/02(木) 20:23:09.47 ID:BX5fs5gY0
>>95
日本は退院したあとの情報がなさすぎだからな

とりあえずアメリカ情報だと治ったあとも人工呼吸器が手放せないらしい
いつまでそうなのか、とかは特に書かれていなかったが
ずっと治らないだろうという書かれ方ではなかったのでリハビリや時間経過で良くなるんだろうね

96 : 2020/04/02(木) 20:20:58.26 ID:ZVTW+4XQ0
中国でぶっ倒れまくる動画の症例か
97 : 2020/04/02(木) 20:21:02.25 ID:1tKvy1630
どんどん変態してんじゃんw
99 : 2020/04/02(木) 20:21:15.86 ID:Rw3s5ezB0
鼻からウィルスが入って、脳の中央へ侵入する可能性があると考えると怖いな。
112 : 2020/04/02(木) 20:21:52.84 ID:bC2pxVvz0
>>99
鼻ほじはコロナチャレンジハードモードやな
100 : 2020/04/02(木) 20:21:17.60 ID:w6vZ9XHm0
話が違うぞ
101 : 2020/04/02(木) 20:21:20.94 ID:8M8NUioG0
例の山梨大の人がもっと重篤化してたらこうなってたわけね。

脳がとろけ出てしまったと。  どろどろデローン

102 : 2020/04/02(木) 20:21:22.23 ID:s/WyG0gV0
もうハンタウィルスとかなんとかがちうごくからきたんでねえの?

アメリカで変なインフル流行ってたよね?中国人が多く出入りしてる国はもう持ち込まれてるんじゃ?

103 : 2020/04/02(木) 20:21:22.36 ID:4u3WQxBl0
うーん
104 : 2020/04/02(木) 20:21:25.46 ID:oG4I+lgU0
酸素が少なくて壊死
びっくりすることではない
105 : 2020/04/02(木) 20:21:28.30 ID:Xg0Ja67z0
嗅覚味覚異常って脳炎からくるヤツだったんか
106 : 2020/04/02(木) 20:21:28.50 ID:dqggsOqo0
>>1
日本で出た髄膜炎患者
味覚・嗅覚障害

やっぱりコロナで神経細胞やられるのか

109 : 2020/04/02(木) 20:21:33.93 ID:cQVkYlr00
脳が壊死。。。。。
111 : 2020/04/02(木) 20:21:42.78 ID:epSUWLqF0
明らかに強毒ウイルスに変異進化してる
速度が思ったより早い
113 : 2020/04/02(木) 20:21:55.21 ID:Jq3ORION0
恐ろしい病気だな、やっぱり作られた物では
114 : 2020/04/02(木) 20:21:55.75 ID:3q0aIp9O0
武漢型→欧州型→米国型
115 : 2020/04/02(木) 20:21:55.52 ID:Vs4QTWQZ0
コロナも同時に罹患してたって可能性もあるんじゃね?
116 : 2020/04/02(木) 20:21:57.05 ID:A2GpAEgQ0
サイトカインストームは武漢の医師が散々警告してきたし、日本でも髄膜炎との関連を指摘した医師がいた

脳がどうなろうと老人は死亡率がそもそも高いし、若い人は自分が死ななきゃどうでもいいみたいだから、気にすることないかもだけど

158 : 2020/04/02(木) 20:24:20.60 ID:TwWh1/UI0
>>116
そのようだね
とりあえず経済が回ればいいんだろ?
上級にはベッドがあるし
働き蜂が減ればお布施も減るけど算数知らないのかな、国のトップは
まあ政権が大事だから今さえ良けりゃいいんだろ
118 : 2020/04/02(木) 20:21:58.59 ID:Xj8I9Hhm0
もうなんでも有りなウイルスだな
119 : 2020/04/02(木) 20:22:01.70 ID:Dd3Dth7g0
そりゃインフルエンザだって脳に回れば脳炎だからな
そういうケースもあるだろうよ
120 : 2020/04/02(木) 20:22:08.95 ID:HJfA6GTj0
鳥越俊太郎さんには効かんわ!そんな物
122 : 2020/04/02(木) 20:22:31.21 ID:0d5gFODx0
電車で隣に立ってる奴が「アベガー」「アベガー」連呼してるんだけどこれも症例?
123 : 2020/04/02(木) 20:22:33.49 ID:NqBMGqQ30
ナンボほど恐ろしいウイルス🦠なんだ
126 : 2020/04/02(木) 20:22:36.34 ID:huaLrFt50
安倍ちゃんも脳が感染したんじゃないかなw
127 : 2020/04/02(木) 20:22:36.47 ID:2rJcE3W80
コロナで脳までやられてしまうのか

臓器や性器能だけかと思ったわ

128 : 2020/04/02(木) 20:22:42.68 ID:a1mKj++z0
ビクンビクンの原因はこれか!
129 : 2020/04/02(木) 20:22:49.99 ID:ds240fNI0
山梨の乳幼児ももしかしてこれか?
130 : 2020/04/02(木) 20:22:50.94 ID:6BKoG3t30
COVID-19だから怖い・・・。
131 : 2020/04/02(木) 20:22:51.29 ID:iIlaTsmi0
怖すぎわろた…
132 : 2020/04/02(木) 20:22:58.26 ID:iBHzwH9P0
センサーが不調だと思ったらCPUが逝くのか
133 : 2020/04/02(木) 20:23:03.23 ID:Bmod7KJT0
熱が出てる以上、脳にいっちゃうケースも数十万件に一件くらいあるんじゃないか?(楽観)
160 : 2020/04/02(木) 20:24:26.64 ID:2rJcE3W80
>>133
発熱時にやられてしまうのか?
134 : 2020/04/02(木) 20:23:06.37 ID:6otOjemo0
じいちゃんが急にあうあうしか言わなくなった(>_<)
135 : 2020/04/02(木) 20:23:08.57 ID:RApuRsuW0
φ(..)φ(..)φ(..)
人類滅亡殺人ウィルス

本気を出して来ました

137 : 2020/04/02(木) 20:23:20.23 ID:ngLLfTN00
真剣に怖くなった
多臓器不全は疑うべくもなくなったが脳にもダイレクトで壊滅的ダメージを与える可能性が出て来ている
おそらくこのウイルスは今我々が認識している以上に危険なものだ
国や世界は真実を未だに隠しているのではないか?
138 : 2020/04/02(木) 20:23:22.53 ID:BKAYOiEi0
たたったtただの風邪
139 : 2020/04/02(木) 20:23:23.32 ID:wB2WssyL0
しゅまん

武漢以上 の地獄になることが確定したトンキンにしがみついてるヒポポタマスおりゅ?🤗

140 : 2020/04/02(木) 20:23:23.82 ID:8Lt78MRq0
ウイルスの目的ってなんなの?
なんのために生まれてきたの?
157 : 2020/04/02(木) 20:24:17.81 ID:epSUWLqF0
>>140
これはキメラウイルスだから殺戮用
141 : 2020/04/02(木) 20:23:23.89 ID:9EzFtvK30
外人は目がでかいから目から感染しやすいのか
142 : 2020/04/02(木) 20:23:24.04 ID:XPnqkSkv0
>>1
ペスト以上!

誰よ? 風邪だとほざいたのは

143 : 2020/04/02(木) 20:23:25.86 ID:CJucPZJR0
それ、単に肺にダメージ受けた結果の低酸素脳症だろ
144 : 2020/04/02(木) 20:23:31.14 ID:qFbpyE+y0
新型コロナでも怖いし他の病気でも怖いね
145 : 2020/04/02(木) 20:23:32.10 ID:6orwQdgP0
安倍晋三とかネトウヨに見られる症状
146 : 2020/04/02(木) 20:23:42.44 ID:r1tS6Czt0
おい、サイトカインストームってどうやって防げるんだよ
147 : 2020/04/02(木) 20:23:44.06 ID:QbTTRLho0
脳症ほんとこわいぞー
知り合いアウアウになったのほんと戦慄
全国模試偏差値65くらいの知能があったのに、意思疎通ができない獣みたいになって、意味不明に微笑んでた
164 : 2020/04/02(木) 20:24:39.37 ID:8cg8A1tr0
>>147
うわああああああああああああ
148 : 2020/04/02(木) 20:23:49.17 ID:wKx4frrH0
まぁインフルエンザと違って
コロナちゃんは血液に入り込んで全身に移動できるからなw
149 : 2020/04/02(木) 20:23:53.83 ID:z5zOgOtN0
コロナ最恐かよ
151 : 2020/04/02(木) 20:23:57.67 ID:Rrw9qUtC0
映画コンティジョンが現実に、、、
152 : 2020/04/02(木) 20:23:59.27 ID:keifRd5U0
ウイルスとか菌が脳にいくことはあるがこれは酷いな
154 : 2020/04/02(木) 20:24:05.15 ID:eyPiHLUi0
そういえば髄膜炎にかかった国内の新コロ感染者ってその後どうなったんだ?
169 : 2020/04/02(木) 20:24:53.18 ID:BCXuKxV30
>>154
山梨大病院は1日、新型コロナウイルスに感染して髄膜炎を発症、一時意識障害となっていた20代の男性会社員について、意思疎通ができる状態になり、快方に向かっていると説明した。
155 : 2020/04/02(木) 20:24:05.55 ID:wIuDohTB0
まさか5G?
156 : 2020/04/02(木) 20:24:06.32 ID:6BKoG3t30
こんな時だからといってスぺクタルになったら非常識w
159 : 2020/04/02(木) 20:24:21.34 ID:ckD7b9ly0
生物兵器かよw
161 : 2020/04/02(木) 20:24:27.14 ID:/vp/G6lX0
インフルエンザで起こりえることは全部起こる感じ
162 : 2020/04/02(木) 20:24:30.46 ID:CnwIUS8j0
ヤバいなこのウイルスの完成度
中国を疑ってきたが・・・実は地球人より高度なテクノロジーを持った地球外生命体が撒いてたりしてな
163 : 2020/04/02(木) 20:24:35.13 ID:1VWatYpE0
>>1
嘘つきカス中国以外からの情報だから怖い
165 : 2020/04/02(木) 20:24:40.94 ID:ap9EAY0E0
そして院内感染?
166 : 2020/04/02(木) 20:24:46.33 ID:NBv/bu0R0
インフルと同じで、なんかの拍子に関門突破したのかな?

「よし通れ」の最悪バージョン

167 : 2020/04/02(木) 20:24:49.14 ID:5QWUMQJN0
5Gマイクロ波の影響だなんて公表したら賠償金とんでもなく請求されるからタイタニック同様極秘扱いだろうな
168 : 2020/04/02(木) 20:24:50.09 ID:k9y/bJQy0
こわ!
こないだの20歳はこれから回復したの?
170 : 2020/04/02(木) 20:24:55.34 ID:UnsE7yyR0
たけし「コロナって大したことない」
171 : 2020/04/02(木) 20:24:59.42 ID:SJ63GZW60
まさか変異じゃ…
172 : 2020/04/02(木) 20:24:56.72 ID:bkP5Q65X0
なんだよこのウイルス
マジで作られた…
173 : 2020/04/02(木) 20:25:01.43 ID:q4LP8nHH0
ガチで怖い
174 : 2020/04/02(木) 20:25:01.27 ID:dXJzo2+H0
子どものころ、「世界の怖い本」みたいなのがあって
それに「脳が溶ける奇病」というのがおどろおどろしい絵で載ってて怖かったのを思い出した…

コメント

タイトルとURLをコピーしました